News
最新情報
-
ブログ
口腔内スキャナーを導入しました!快適で精密な型取りを実現|山形市馬見ヶ崎のあきらデンタル・クリニック
山形市馬見ヶ崎の歯科医院「あきらデンタル・クリニック」です。このたび、当院では最新の口腔内スキャナーを導入いたしました! 従来の「粘土のような材料をお口に入れ… -
ドックベストセメント療法


ドックベストセメントの第一人者である小峰一雄先生より 最新著本を送って頂きました!
山形県馬見ヶ崎の歯医者あきらデンタル・クリニックの院長、隠明寺 亮です。 先日、著者のドックベストセメントの第一人者である小峰一雄先生より最新著本を送って頂き… -
SH療法


「SH療法セミナー」会員代表して 症例発表をして参りました
5月19日(日)東京 八重洲倶楽部で「SH療法セミナー」会員代表として症例発表をして参りました。 昨年末より構想~本年2月より始動して何とか準… -
ブログ


ポリリン酸ホワイトニングの効果とメリット・デメリット
山形市馬見ヶ崎の歯医者・歯科医院、あきらデンタル・クリニックです。今日は、当院で使用しております「ポリリン酸ホワイトニング」の効果とメリット・デメリットにつ…
Message
メッセージ


こんにちは。
山形市馬見ヶ崎のあきらデンタル・クリニック
院長の隠明寺 亮(おんみょうじ あきら)です。
当院では診療に関するカウンセリングを重視しております。
患者様ごとの症状や生活環境に合わせたオーダーメイドの治療計画が必要であると考えております。
来院された患者様に丁寧な説明を心掛け、納得をいただいた上で、できること・できないことを患者様になるべくお伝えしております。


こんにちは、山形市馬見ヶ崎のあきらデンタル・クリニック 院長の隠明寺 亮(おんみょうじ あきら)です。
当院では診療に関するカウンセリングを重視しております。患者様ごとの症状や生活環境に合わせたオーダーメイドの治療計画が必要であると考えております。
来院された患者様に丁寧な説明を心掛け、納得をいただいた上で、できること・できないことを患者様になるべくお伝えしております。
About
当院について
Features
当院の特長
Subject
診療科目
Case
症例
-
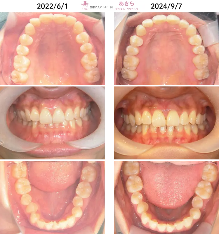
SH療法


SH療法-症例-No.006-上下前歯部叢生(凸凹)を伴うケース
SH療法の概要 過蓋咬合を伴なう症例 主訴~経過 初診 2022年 6月1日 ⇒ 2024年 10月… -
SH療法


SH療法-症例-No.005-前歯叢生(凸凹)を伴うケース
SH療法の概要 上顎左側萌出障害を伴なう症例 主訴~経過 初診 2016年3月1日⇒2021年… -
症例


予防的矯正治療(プレオルソやマウスピース型装置を主に使用)-症例-No.002
過蓋咬合 症例 嚙み合わせが深く前歯が見えないケース 主訴 要望 初診 2022年4月28… -
SH療法


SH療法-症例-No.004-特に前歯の凸凹が気になるケース
SH療法の概要 主訴 要望 初診 2016年1月9日⇒2022年5月14日 10歳11ヶ月⇒17歳3ヶ月 … -
SH療法


SH療法-症例-No.003-凸凹著しく前歯の前突を認めるケース
SH療法の概要 主訴 要望 初診~終了時 2016年7月11日⇒2022年4月7日 9歳6ヶ月⇒15歳3… -
SH療法


SH療法-症例-No.002-上顎前歯部の捻転を認めるケース
SH療法の概要 主訴 要望 初診 2017年1月28日⇒2020年8月11日20歳10ヶ月⇒24歳6ヶ月 …






















